CASE DATABASE

 

無料メール相談

古いタイプのインプラント(ブレードタイプ)を除去し、再度のインプラント手術を経て全顎的な口腔機能回復が得られた患者様

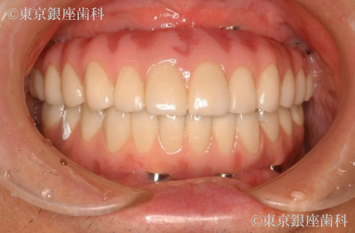
Before

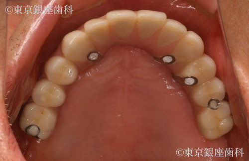
After

患者様プロフィール

70代 男性

疾患 リカバリー

施術内容 インプラント

治療期間 12か月 費用 630万円(税込)

※費用は当時の金額となります。

治療期間 12か月

費用 630万円(税込)

※費用は当時の金額となります。

主訴

30年前以上に他の病院でインプラント治療を受けた部分の、インプラントの人工歯がグラグラしてものを咬めなくなってしまった。複数の大学病院を受診し、古いインプラントを除去して再度インプラントで物を咬めるように治療をお願いしに行った。しかし、インプラントの位置が下顎の太い神経と血管の入っている管に近いため再度のインプラント治療はできないと言われ途方に暮れていた。そんな中、ホームページで中平先生のワンデイインプラントを知り治療を受けようと思った。

症状の経過と現在の状態

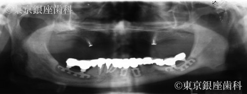
30年前以上に、他院にて下顎に古いタイプのインプラント(ブレードタイプ)での全顎的な口腔機能の回復をしていた。また上顎は入れ歯を装着していた。しかし下顎のブレードタイプインプラントに感染が認められ、インプラントの動揺、周囲の骨に著しい骨吸収が認められ口腔機能の低下が認められた。また下顎管と呼ばれる、下顎の太い血管と神経が入っていいる管の近くまで骨の吸収が進んでいた。咬合に関しても歯の形がすり減り咀嚼が困難な状態となっていた。

治療計画

下顎のブレードインプラントの除去と、感染した骨の掻爬(感染源を除去してきれいにすること)、上顎の予後の経過が望ましくない自分の歯を抜歯するのと同時に上下顎を最小限のインプラントの本数で、上下顎の全顎的な口腔機能回復を予定しました。

治療内容と治療のポイント

ブレードインプラントが下顎管に近接しているので、インプラント除去による下顎の知覚麻痺が生じるリスクを術前のCTの分析で診査し、リスクを避けました。また骨造成は行わず、既存骨(ご本人様の骨)イへのンプラント埋入を行いました。上顎は5本のインプラント、下顎は4本のインプラントを支えとした、上下顎への全顎的な人工歯を装着することで口腔機能の回復が得られた症例となりました。患者様にとても満足の得られることができた症例です

この症例の担当医師

中平宏
(院長)

経歴

1955年10月1日 愛媛県今治市生まれ
1980年 神奈川歯科大学卒業
ボスト グラデュエート オーラル インプラントロジーコース受講
1981年 中平歯科医院開業
1989年 医療法人 中平歯科 設立
1991年 口腔インプラント専修医認定
1993年 口腔インプラント医認定
USAミシガン大学インプラントコース受講
コペンハーゲンインプラントセンターザイゴマコース受講
2002年 松山中平歯科クリニック 開業
2005年 東京銀座歯科 開業
2006年 東京銀座歯科 院長

中平宏医師に無料メール相談をする