CASE DATABASE

 

無料メール相談

矯正

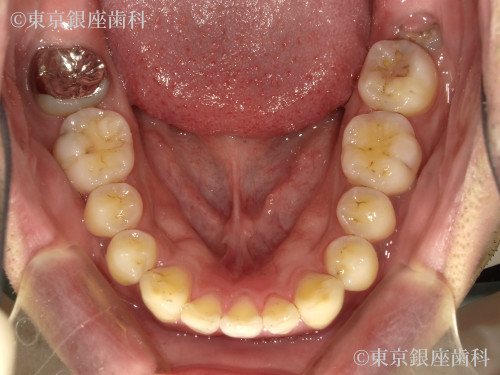
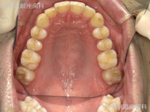
Before

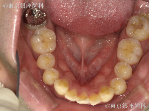
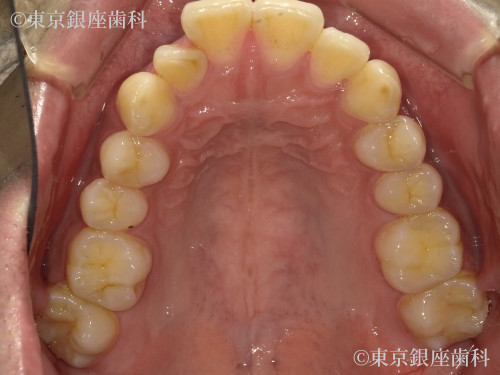
After

患者様プロフィール

30代 男性

疾患 矯正

施術内容 矯正

治療期間 1年4ヶ月 費用 45万円(税込)

※費用は当時の金額となります。

治療期間 1年4ヶ月

費用 45万円(税込)

※費用は当時の金額となります。

内容

インビザライン:ライトパッケージ
側方前突

この症例の担当医師

多保 絵美

経歴

2000年 愛媛県立今治西高等学校卒業
2002年 日本歯科大学生命歯学部入学
2008年 日本歯科大学生命歯学部卒業
2009年 研修医制度終了
2010年 中平歯科医院勤務
2013年 東京銀座歯科勤務

多保 絵美医師に無料メール相談をする