CASE DATABASE

 

無料メール相談

重度の歯周病によって失った審美性や機能性をワンデイインプラントによって改善した症例

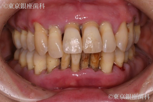
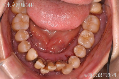
Before

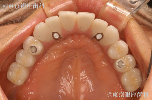
After

患者様プロフィール

40代 女性

疾患 歯周病

施術内容 ワンデイインプラント

治療期間 8カ月 費用 600万円(税込)

※費用は当時の金額となります。

治療期間 8カ月

費用 600万円(税込)

※費用は当時の金額となります。

主訴

歯の揺れを原因に一度来院したが金銭的理由により一時保留。3年後歯周病が悪化し歯の揺れ、骨の吸収が見られ前歯が自然脱落し改善したい。

症状の経過と現在の状態

何年間も歯科医院には通っておらず、全ての歯の揺れがひどく今にも抜けそうだったが金銭的な理由により一時保留にしていた。3年後に来院した際には、歯周病が悪化し著しい歯の揺れ、骨の吸収が見られた。そして左上の前歯が自然脱落した。

治療計画

歯周病の進行により歯に動揺があり長期の保存が難しくこのままでは予後が不安であった為全顎的な治療が必要と判断。上下全ての歯を抜歯。重度の歯周病により骨が吸収されているため、上顎骨が薄く左側は上顎洞に骨を足す治療(サイナスリフト)を行い上顎に4本、下顎に4本のインプラントを埋入しワンデイインプラントを行った。現在半年メンテナンス。

治療内容と治療のポイント

抜歯即時埋入でインプラント治療を行い、その日のうちに仮歯を入れて短期間での大幅な審美、機能の回復をした。また上顎骨が薄くインプラント埋入の難しい部位には人口骨を足しインプラント埋入を可能にした。

この症例の担当医師

中平宏
(院長)

経歴

1955年10月1日 愛媛県今治市生まれ
1980年 神奈川歯科大学卒業
ボスト グラデュエート オーラル インプラントロジーコース受講
1981年 中平歯科医院開業
1989年 医療法人 中平歯科 設立
1991年 口腔インプラント専修医認定
1993年 口腔インプラント医認定
USAミシガン大学インプラントコース受講
コペンハーゲンインプラントセンターザイゴマコース受講
2002年 松山中平歯科クリニック 開業
2005年 東京銀座歯科 開業
2006年 東京銀座歯科 院長

中平宏医師に無料メール相談をする