CASE DATABASE

 

無料メール相談

長年入歯を使ってて骨が薄くて他院でインプラントを断られた事例

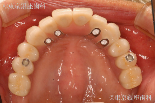
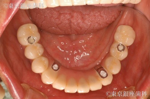
Before

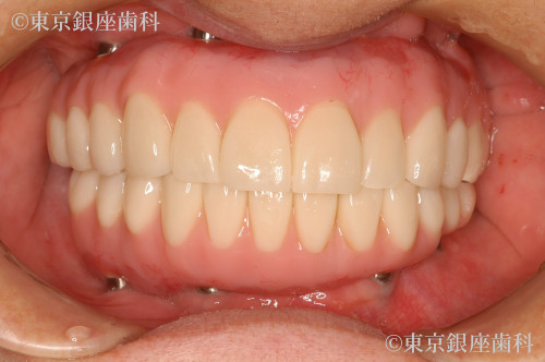
After

患者様プロフィール

50代 女性

疾患 審美治療

施術内容 インプラント

治療期間 1年1か月 費用 660万円(税込)

※費用は当時の金額となります。

治療期間 1年1か月

費用 660万円(税込)

※費用は当時の金額となります。

内容

長年入歯を使ってて骨が薄くて他院でインプラントを断られた
禁煙を行って頂いたのち、オペを実施

リスク及び副作用

喫煙により毛細血管が縮小し治癒不全になる恐れがある為、禁煙後にオペを実施
外科的な手術を受ける必要がある為、出血、神経や血管を損傷する恐れがあります。
保険制度がなくブリッジや入れ歯に比べると高額になります。
骨が薄かった為、左右サイナフリフトも同時実施

この症例の担当医師

中平宏
(院長)

経歴

1955年10月1日 愛媛県今治市生まれ
1980年 神奈川歯科大学卒業
ボスト グラデュエート オーラル インプラントロジーコース受講
1981年 中平歯科医院開業
1989年 医療法人 中平歯科 設立
1991年 口腔インプラント専修医認定
1993年 口腔インプラント医認定
USAミシガン大学インプラントコース受講
コペンハーゲンインプラントセンターザイゴマコース受講
2002年 松山中平歯科クリニック 開業
2005年 東京銀座歯科 開業
2006年 東京銀座歯科 院長

中平宏医師に無料メール相談をする