CASE DATABASE

 

無料メール相談

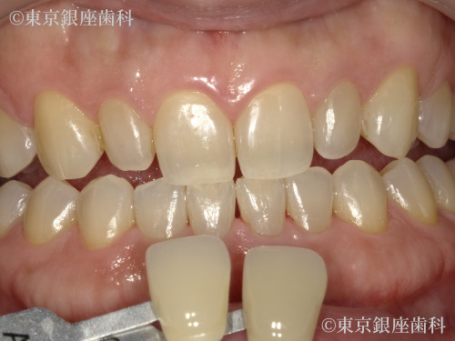
ホームホワイトニング

Before

After

患者様プロフィール

40代 女性

疾患 審美治療

施術内容 ホームホワイトニング

治療期間 3ヶ月 費用 3.3万円(税込)

※費用は当時の金額となります。

治療期間 3ヶ月

費用 3.3万円(税込)

※費用は当時の金額となります。

概要

治療内容

リスク

副作用

この症例の担当医師

多保 絵美

経歴

2000年 愛媛県立今治西高等学校卒業
2002年 日本歯科大学生命歯学部入学
2008年 日本歯科大学生命歯学部卒業
2009年 研修医制度終了
2010年 中平歯科医院勤務
2013年 東京銀座歯科勤務

多保 絵美医師に無料メール相談をする