CASE DATABASE

 

無料メール相談

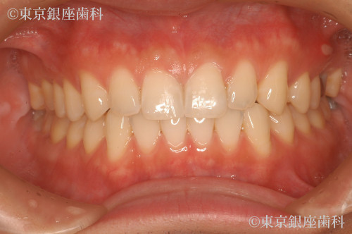
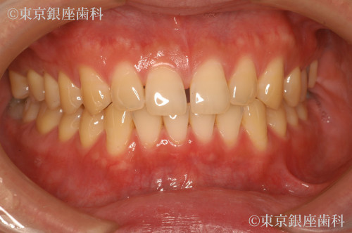
オフィスホワイトニング2回、前歯の隙間D,B

Before

After

患者様プロフィール

20代 男性

疾患 上顎正中離開

施術内容 ダイレクトボンディング

治療期間 3回 費用 12万円(税込)

※費用は当時の金額となります。

治療期間 3回

費用 12万円(税込)

※費用は当時の金額となります。

内容

オフィスホワイトニング2回、前歯の隙間D,B

この症例の担当医師

多保 絵美

経歴

2000年 愛媛県立今治西高等学校卒業
2002年 日本歯科大学生命歯学部入学
2008年 日本歯科大学生命歯学部卒業
2009年 研修医制度終了
2010年 中平歯科医院勤務
2013年 東京銀座歯科勤務

多保 絵美医師に無料メール相談をする