CASE DATABASE

 

無料メール相談

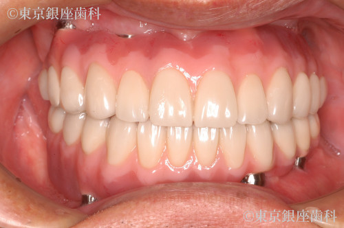
ボロボロの歯の症例

Before

After

患者様プロフィール

50代 男性

疾患 歯周病

施術内容 ワンデイインプラント

治療期間 7カ月 費用 630万円(税込)

※費用は当時の金額となります。

治療期間 7カ月

費用 630万円(税込)

※費用は当時の金額となります。

概要

入れ歯、歯周病、反対咬合、虫歯

治療

上下ワンデイインプラント

この症例の担当医師

中平宏
(院長)

経歴

1955年10月1日 愛媛県今治市生まれ
1980年 神奈川歯科大学卒業
ボスト グラデュエート オーラル インプラントロジーコース受講
1981年 中平歯科医院開業
1989年 医療法人 中平歯科 設立
1991年 口腔インプラント専修医認定
1993年 口腔インプラント医認定
USAミシガン大学インプラントコース受講
コペンハーゲンインプラントセンターザイゴマコース受講
2002年 松山中平歯科クリニック 開業
2005年 東京銀座歯科 開業
2006年 東京銀座歯科 院長

中平宏医師に無料メール相談をする