CASE DATABASE

 

無料メール相談

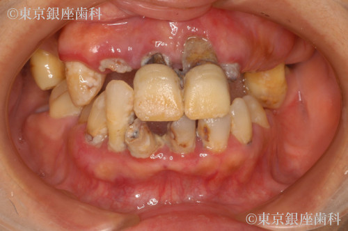
長年の歯科恐怖症を克服し、家族の結婚式に笑顔で参加できた70歳代女性のインプラント治療症例

Before

After

患者様プロフィール

70代 女性

疾患 歯牙部分欠損

施術内容 ワンデイインプラント

治療期間 約6か月 費用 670万円(税込)

※費用は当時の金額となります。

治療期間 約6か月

費用 670万円(税込)

※費用は当時の金額となります。

概要

幼少期からの歯科恐怖症で長期間治療を避けてきたが、家族の結婚式のため治療を決断。丁寧な説明で不安を軽減し、ワンデイインプラントで当日に仮歯を装着したことで自然な見た目で式に参加できた。

治療内容

ワンデイインプラント(上下)

リスク

手術後の腫れ・痛み・出血、骨結合不全、顎のしびれ、再治療の可能性

副作用

術後痛・腫脹・違和感・治癒過程の不快感

この症例の担当医師

中平宏
(院長)

経歴

1955年10月1日 愛媛県今治市生まれ
1980年 神奈川歯科大学卒業
ボスト グラデュエート オーラル インプラントロジーコース受講
1981年 中平歯科医院開業
1989年 医療法人 中平歯科 設立
1991年 口腔インプラント専修医認定
1993年 口腔インプラント医認定
USAミシガン大学インプラントコース受講
コペンハーゲンインプラントセンターザイゴマコース受講
2002年 松山中平歯科クリニック 開業
2005年 東京銀座歯科 開業
2006年 東京銀座歯科 院長

中平宏医師に無料メール相談をする