CASE DATABASE

 

無料メール相談

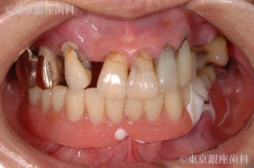
20年経過したインプラントの上部構造を再度新製し快適性を取り戻した80歳代女性の症例

Before

After

患者様プロフィール

70代 女性

疾患 リカバリー

施術内容 ワンデイインプラント

治療期間 約6か月 費用 840万円(税込)

※費用は当時の金額となります。

治療期間 約6か月

費用 840万円(税込)

※費用は当時の金額となります。

概要

20年前にワンデイインプラントを実施。土台は安定していたが人工歯が経年劣化し再度新製を選択。スペアも作成し将来の負担を軽減した。

治療内容

上下ワンデイインプラント(補綴再製作)

リスク

腫れ・痛み・出血、上部構造の経年劣化、再製作の必要性

副作用

術後の痛み・違和感

この症例の担当医師

中平宏
(院長)

経歴

1955年10月1日 愛媛県今治市生まれ
1980年 神奈川歯科大学卒業
ボスト グラデュエート オーラル インプラントロジーコース受講
1981年 中平歯科医院開業
1989年 医療法人 中平歯科 設立
1991年 口腔インプラント専修医認定
1993年 口腔インプラント医認定
USAミシガン大学インプラントコース受講
コペンハーゲンインプラントセンターザイゴマコース受講
2002年 松山中平歯科クリニック 開業
2005年 東京銀座歯科 開業
2006年 東京銀座歯科 院長

中平宏医師に無料メール相談をする