CASE DATABASE

 

無料メール相談

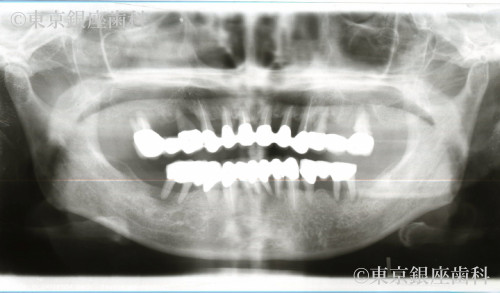
ブリッジ部の歯周病悪化から上下インプラントで噛める機能を回復した60歳代女性の症例

Before

After

患者様プロフィール

60代 女性

疾患 歯周病

施術内容 ワンデイインプラント

治療期間 約6か月 費用 640万円(税込)

※費用は当時の金額となります。

治療期間 約6か月

費用 640万円(税込)

※費用は当時の金額となります。

概要

上下ブリッジの歯周病悪化・口臭・動揺・痛みに悩んでいたが、下顎から順次インプラントを実施し改善。上下で安定した噛み合わせを獲得。

治療内容

上下ワンデイインプラント(段階治療)

リスク

腫れ・痛み・出血、骨結合不全、再治療の可能性

副作用

術後痛・腫れ

この症例の担当医師

中平宏
(院長)

経歴

1955年10月1日 愛媛県今治市生まれ
1980年 神奈川歯科大学卒業
ボスト グラデュエート オーラル インプラントロジーコース受講
1981年 中平歯科医院開業
1989年 医療法人 中平歯科 設立
1991年 口腔インプラント専修医認定
1993年 口腔インプラント医認定
USAミシガン大学インプラントコース受講
コペンハーゲンインプラントセンターザイゴマコース受講
2002年 松山中平歯科クリニック 開業
2005年 東京銀座歯科 開業
2006年 東京銀座歯科 院長

中平宏医師に無料メール相談をする