CASE DATABASE

 

無料メール相談

過去のインプラントで十分な結果が得られず再チャレンジし噛む機能を取り戻した60歳代女性の症例

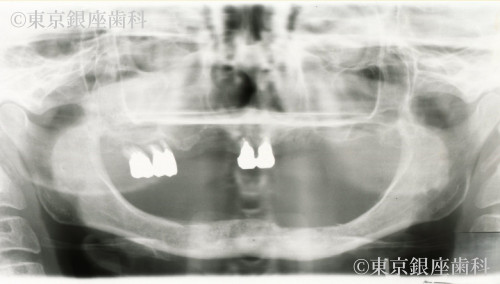
Before

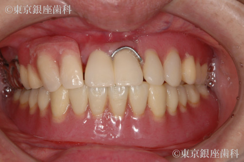
After

患者様プロフィール

60代 女性

疾患 歯牙部分欠損

施術内容 ワンデイインプラント

治療期間 約6か月(全体では数年) 費用 680万円(税込)

※費用は当時の金額となります。

治療期間 約6か月(全体では数年)

費用 680万円(税込)

※費用は当時の金額となります。

概要

以前のインプラントが不十分で再治療を希望。下顎から先にインプラント、上顎洞炎治療後に上顎も実施。難症例ながら最終的に噛める状態を獲得。

治療内容

上下ワンデイインプラント(再チャレンジ症例)

リスク

腫れ・痛み・出血、結合不全、脱落可能性、食片圧入

副作用

術後痛・腫れ・違和感

この症例の担当医師

中平宏
(院長)

経歴

1955年10月1日 愛媛県今治市生まれ
1980年 神奈川歯科大学卒業
ボスト グラデュエート オーラル インプラントロジーコース受講
1981年 中平歯科医院開業
1989年 医療法人 中平歯科 設立
1991年 口腔インプラント専修医認定
1993年 口腔インプラント医認定
USAミシガン大学インプラントコース受講
コペンハーゲンインプラントセンターザイゴマコース受講
2002年 松山中平歯科クリニック 開業
2005年 東京銀座歯科 開業
2006年 東京銀座歯科 院長

中平宏医師に無料メール相談をする