CASE DATABASE

 

無料メール相談

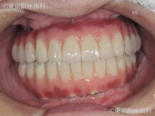
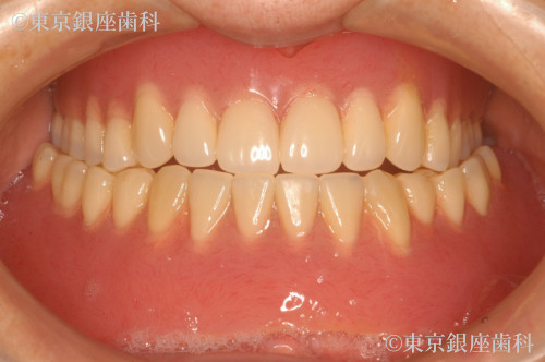
総入れ歯の不安からインプラントで噛む機能を取り戻した60歳代女性の症例

Before

After

患者様プロフィール

60代 女性

疾患 歯牙部分欠損

施術内容 ワンデイインプラント

治療期間 約6か月(再オペの場合延長) 費用 748万円(税込)

※費用は当時の金額となります。

治療期間 約6か月(再オペの場合延長)

費用 748万円(税込)

※費用は当時の金額となります。

概要

総入れ歯が合わず不便を感じていたが、上下ワンデイインプラントを選択。上顎には6本の埋入と骨補強を併用し、計画通りに進行。噛み合わせも改善し自然な見た目を取り戻した。

治療内容

上下ワンデイインプラント(インプラント6本+骨補強)

リスク

腫れ・痛み・出血、骨が薄い場合の結合不全、再手術の可能性、噛み合わせ変化による違和感

副作用

術後の痛み・腫れ・違和感

この症例の担当医師

中平宏
(院長)

経歴

1955年10月1日 愛媛県今治市生まれ
1980年 神奈川歯科大学卒業
ボスト グラデュエート オーラル インプラントロジーコース受講
1981年 中平歯科医院開業
1989年 医療法人 中平歯科 設立
1991年 口腔インプラント専修医認定
1993年 口腔インプラント医認定
USAミシガン大学インプラントコース受講
コペンハーゲンインプラントセンターザイゴマコース受講
2002年 松山中平歯科クリニック 開業
2005年 東京銀座歯科 開業
2006年 東京銀座歯科 院長

中平宏医師に無料メール相談をする