CASE DATABASE

 

無料メール相談

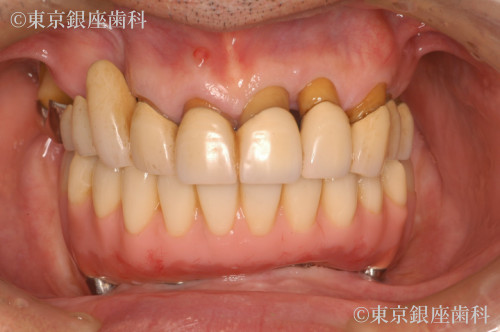
難しい神経位置の症例で回復まで半年以上を要した60歳代男性のインプラント症例

Before

After

患者様プロフィール

60代 男性

疾患 リカバリー

施術内容 ワンデイインプラント

治療期間 約6か月+追加上顎6か月 費用 740万円(税込)

※費用は当時の金額となります。

治療期間 約6か月+追加上顎6か月

費用 740万円(税込)

※費用は当時の金額となります。

概要

下顎の神経露出に近い難症例。術後一時的に神経麻痺が出たが、理学療法と投薬で半年以上かけて回復。信頼関係の中で上顎治療も希望され、現在は上下とも安定。

治療内容

上下ワンデイインプラント(サイナスリフト併用)

リスク

腫れ・痛み・出血、神経麻痺、治癒遅延の可能性

副作用

術後のしびれ・麻痺感・違和感

この症例の担当医師

中平宏
(院長)

経歴

1955年10月1日 愛媛県今治市生まれ
1980年 神奈川歯科大学卒業
ボスト グラデュエート オーラル インプラントロジーコース受講
1981年 中平歯科医院開業
1989年 医療法人 中平歯科 設立
1991年 口腔インプラント専修医認定
1993年 口腔インプラント医認定
USAミシガン大学インプラントコース受講
コペンハーゲンインプラントセンターザイゴマコース受講
2002年 松山中平歯科クリニック 開業
2005年 東京銀座歯科 開業
2006年 東京銀座歯科 院長

中平宏医師に無料メール相談をする