CASE DATABASE

 

無料メール相談

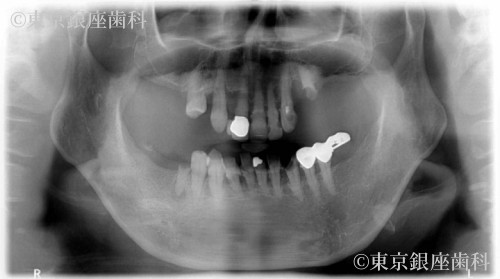
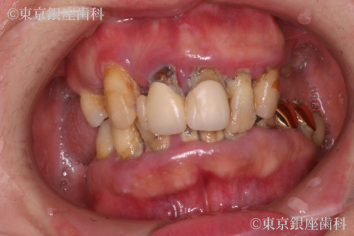
歯周病治療を機に顔色改善もみられた60歳代女性のインプラント症例

Before

After

患者様プロフィール

70代 女性

疾患 歯周病

施術内容 ワンデイインプラント

治療期間 約6か月(再オペの場合延長) 費用 630万円(税込)

※費用は当時の金額となります。

治療期間 約6か月(再オペの場合延長)

費用 630万円(税込)

※費用は当時の金額となります。

概要

重度歯周病で上下インプラントを選択。治療後、顔の赤みが改善し噛む機能も回復。補綴の形態修正も行い自然で快適な仕上がりに。

治療内容

上下ワンデイインプラント

リスク

腫れ・痛み・出血、歯周病の全身影響、再炎症の可能性

副作用

術後の痛み・腫れ

この症例の担当医師

中平宏
(院長)

経歴

1955年10月1日 愛媛県今治市生まれ
1980年 神奈川歯科大学卒業
ボスト グラデュエート オーラル インプラントロジーコース受講
1981年 中平歯科医院開業
1989年 医療法人 中平歯科 設立
1991年 口腔インプラント専修医認定
1993年 口腔インプラント医認定
USAミシガン大学インプラントコース受講
コペンハーゲンインプラントセンターザイゴマコース受講
2002年 松山中平歯科クリニック 開業
2005年 東京銀座歯科 開業
2006年 東京銀座歯科 院長

中平宏医師に無料メール相談をする