CASE DATABASE

 

無料メール相談

結婚式が1週間後にあるのでそれまでに前歯のすきっ歯を埋めたい。

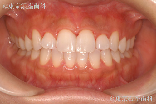
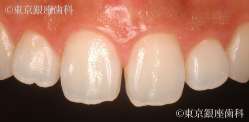
Before

After

患者様プロフィール

30代 女性

疾患 上顎正中離開

施術内容 ダイレクトボンディング

治療期間 1日(1.5時間) 費用 7万円(税込)

※費用は当時の金額となります。

治療期間 1日(1.5時間)

費用 7万円(税込)

※費用は当時の金額となります。

状況

歯科矯正治療で歯の隙間を埋めるのは結婚式に間に合わないので、インターネットで調べたダイレクトボンディング治療で結婚式に間に合わせたい。

治療前

歯間空隙(歯と歯の隙間)の一番大きな部分で幅が2㎜程度認められました。治療前の口腔内の見た目の印象は2㎜の歯間空隙が黒く見え、顔貌が少し緩んだイメージに見えました。

メリット

歯を削らずにコンポジットレジン(セラミックスの微細粒子と光をあてると硬化する合成樹脂→レジン、とを混合して作られた材料)を歯と強く接着することができます。また自分の歯の色とコンポジットレジンの色を調和させることができるため、自然な見た目に仕上げることができます。被せ物の治療のように型取りをする必要もないため、治療回数も1回で終わらせることもできます。歯の形にご要望がある場合も対応することが可能です。

治療のリスク・副作用

色の濃い食べ物や飲み物を日常的に嗜好して飲食をする場合、自分の歯とコンポジットレジンの着色の仕方に差が生じ、特に歯とコンポジットレジンの接着している境目に着色が生じる場合があります。また金属やセラミックスに比べて強度は低く、破折や摩耗の可能性があるため、歯科医院での定期的な確認や調整をお勧めいたします。

治療後

治療前に口腔内に認められた歯間空隙による隙間の黒さがなくなり、顔貌が凛としたイメージに見えました。

この症例の担当医師

多保 絵美

経歴

2000年 愛媛県立今治西高等学校卒業
2002年 日本歯科大学生命歯学部入学
2008年 日本歯科大学生命歯学部卒業
2009年 研修医制度終了
2010年 中平歯科医院勤務
2013年 東京銀座歯科勤務

多保 絵美医師に無料メール相談をする