CASE DATABASE

 

無料メール相談

重度歯周病、義歯不適合による咬合障害をワンデイインプラントで改善した症例

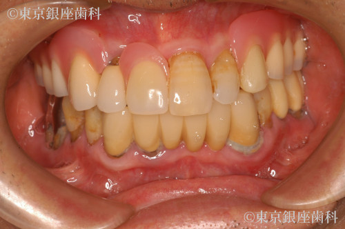
Before

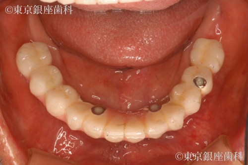
After

患者様プロフィール

70代 男性

疾患 歯周病

施術内容 歯周病

治療期間 6ヶ月 費用 650万円(税込)

※費用は当時の金額となります。

治療期間 6ヶ月

費用 650万円(税込)

※費用は当時の金額となります。

主訴

入れ歯が痛くて入れられない。噛めないので食事を丸のみにしているため胃の調子が悪い。

全身状態

一過性の高血圧による脳梗塞、橋本病の既往歴有り。

治療計画

全体的に歯周病が進行していること、咬合改善を希望されていることから残存歯を全て抜歯してワンデイインプラントにすることにした。

治療

ご高齢の為術前、術後の全身管理を徹底しました。また、喫煙は術後の治癒の遅延やインプラントと骨の結合阻害等のリスクがあるため、
減煙していただいてから手術を行いました。
1.血管損傷 術後に青あざが残ったが、数日でなくなった。
2.神経麻痺 術前にCTで神経の位置を確認。術後、神経麻痺の症状はなし。
3.手術後の腫れ・痛み 翌日には腫れ、痛み共になくなった。

リスク及び副作用

高血圧、脳梗塞の既往歴があったため、血圧のコントロール状態、服薬等についてかかりつけの医師と対診し、治療方針を決定しました。

この症例の担当医師

中平宏
(院長)

経歴

1955年10月1日 愛媛県今治市生まれ
1980年 神奈川歯科大学卒業
ボスト グラデュエート オーラル インプラントロジーコース受講
1981年 中平歯科医院開業
1989年 医療法人 中平歯科 設立
1991年 口腔インプラント専修医認定
1993年 口腔インプラント医認定
USAミシガン大学インプラントコース受講
コペンハーゲンインプラントセンターザイゴマコース受講
2002年 松山中平歯科クリニック 開業
2005年 東京銀座歯科 開業
2006年 東京銀座歯科 院長

中平宏医師に無料メール相談をする