CASE DATABASE

 

無料メール相談

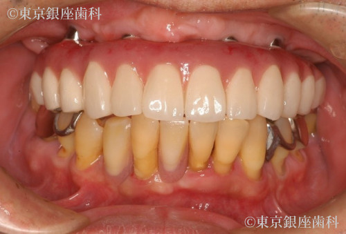
2型糖尿病の治療を経て歯周病の進行によって失われた咬合機能をワンデイインプラントにより回復。ただし費用の都合により上顎のみ手術。患者の希望により残存歯の多い下顎は義歯を使用した例。

Before

After

患者様プロフィール

50代 男性

疾患 歯周病

施術内容 ワンデイインプラント

治療期間 8ケ月 費用 350万円(税込)

※費用は当時の金額となります。

治療期間 8ケ月

費用 350万円(税込)

※費用は当時の金額となります。

主訴

義歯を使用しているが歯の動揺が激しく歯周病の進行が心配。

症状の経過と現在の状態

20代の頃からブラッシング時の出血等の症状があるも特に痛みもないため治療せず放置。
40代になると喫煙、糖尿病の影響も大きく歯周病が急激に悪化。
抜歯により義歯の装着を免れなくなった。

全身状態

2型糖尿病 高血圧傾向

喫煙歴

喫煙30年 1日20本

治療計画

特に上顎の歯周病が進行していて歯の動揺、歯肉の腫れ、出血、咬合痛あり。歯石が帯状に付着しており磨き残しも多い。
手術に際し対診をとると2型糖尿病が発覚。糖尿病の治療で安定した全身状態にて手術に臨んだ。
今回は上顎のみを希望。動揺の激しい残存歯を抜歯、即時にインプラント4本の埋入と仮歯の固定で審美面の回復も行った。
下顎の動揺歯抜歯後の欠損部には作成した義歯を使用。

治療内容と治療のポイント

今回の手術に臨まなければ糖尿病の発見はもっと遅れていた。
2型糖尿病の治療と口腔機能の大幅な改善により全身の健康状態が回復できた。

この症例の担当医師

中平宏
(院長)

経歴

1955年10月1日 愛媛県今治市生まれ
1980年 神奈川歯科大学卒業
ボスト グラデュエート オーラル インプラントロジーコース受講
1981年 中平歯科医院開業
1989年 医療法人 中平歯科 設立
1991年 口腔インプラント専修医認定
1993年 口腔インプラント医認定
USAミシガン大学インプラントコース受講
コペンハーゲンインプラントセンターザイゴマコース受講
2002年 松山中平歯科クリニック 開業
2005年 東京銀座歯科 開業
2006年 東京銀座歯科 院長

中平宏医師に無料メール相談をする