CASE DATABASE

 

無料メール相談

全顎的な重度の歯周病と顎変位をワンデイインプラントによって改善した症例

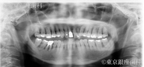
Before

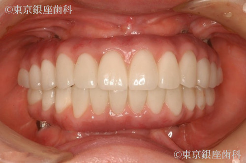
After

患者様プロフィール

50代 女性

疾患 歯周病

施術内容 ワンデイインプラント

治療期間 1年6か月 費用 640万円(税込)

※費用は当時の金額となります。

治療期間 1年6か月

費用 640万円(税込)

※費用は当時の金額となります。

主訴

歯の揺れがひどくまともな食事がとれず口腔内の悩みにより鬱傾向。
半年で急激に歯周病が進み、それまで頻繁に行っていた友人とのランチや家族とのお出かけも出来なくなり引き篭もるようになった。
15年ほど歯医者には言っておらず歯医者に対して恐怖心がある。
幼少時から顎や口が歪んでいる。
これを機に全てを改善したい。

症状の経過と現在の状態

15年ほど歯科医院には通っておらず歯科治療に対して不安や恐怖心があった。
歯の揺れがひどくまともな食事がとれない。
歯の見た目や口臭が気になり引きこもりがちになったがカウンセリングにてワンデイインプラントについて理解し前向きに治療に取り組むようになった。

治療計画

治療前の充分な説明と、静脈鎮静法を用いて不安や緊張を和らげ、恐怖心を取り除いた状態で治療を行うことにした。
歯周病の進行により歯に動揺があり長期の保存が難しく、臼歯の欠損で咬み合わせが下がって前歯部への負担が大きくなっているため全顎的な治療が必要と判断し上下顎でワンデイインプラントを行うことにした。
重度の歯周病によりOPE時の出血量が多かったためOPEを二回に分けた(上顎、下顎)。
また上顎骨が薄く左側は上顎洞に骨を足す治療(サイナスリフト)を行い上顎に5本のインプラントを埋入。
当日下顎は抜歯のみを行い、炎症が収まるまで義歯待機。上顎OPEから2か月後下顎4本埋入。仮歯を入れ噛み合わせを安定させた為、顎の変位も改善された。
現在半年メンテナンス

治療内容と治療のポイント

抜歯即時埋入でインプラント治療を行い、その日のうちに仮歯を入れて短期間での大幅な審美、機能の回復をした。
また上顎骨が薄くインプラント埋入の難しい部位には人口骨を足しインプラント埋入を可能にした。
口腔内の悩みを解決することでQOL(クオリティオブライフ:生活の質)を向上することに成功した。。

この症例の担当医師

中平宏
(院長)

経歴

1955年10月1日 愛媛県今治市生まれ
1980年 神奈川歯科大学卒業
ボスト グラデュエート オーラル インプラントロジーコース受講
1981年 中平歯科医院開業
1989年 医療法人 中平歯科 設立
1991年 口腔インプラント専修医認定
1993年 口腔インプラント医認定
USAミシガン大学インプラントコース受講
コペンハーゲンインプラントセンターザイゴマコース受講
2002年 松山中平歯科クリニック 開業
2005年 東京銀座歯科 開業
2006年 東京銀座歯科 院長

中平宏医師に無料メール相談をする