CASE DATABASE

 

無料メール相談

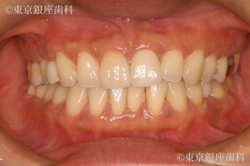
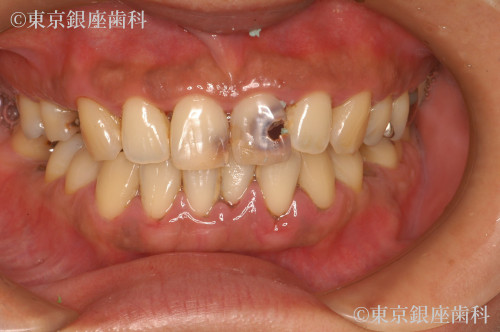
歯周病及び虫歯による全体的な治療

Before

After

患者様プロフィール

30代 女性

疾患 歯周病

施術内容 インプラント

治療期間 3年 費用 530万円(税込)

※費用は当時の金額となります。

治療期間 3年

費用 530万円(税込)

※費用は当時の金額となります。

内容

インプラント及びセラミック処置を実施

リスク及び副作用

歯周病により歯茎の状態が不安定なので、かぶせものを行った場合、見た目が汚くなる可能性がある為、事前に歯周病の治療を実施。
インプラントによる神経の麻痺が発生する可能性がある

この症例の担当医師

中平宏
(院長)

経歴

1955年10月1日 愛媛県今治市生まれ
1980年 神奈川歯科大学卒業
ボスト グラデュエート オーラル インプラントロジーコース受講
1981年 中平歯科医院開業
1989年 医療法人 中平歯科 設立
1991年 口腔インプラント専修医認定
1993年 口腔インプラント医認定
USAミシガン大学インプラントコース受講
コペンハーゲンインプラントセンターザイゴマコース受講
2002年 松山中平歯科クリニック 開業
2005年 東京銀座歯科 開業
2006年 東京銀座歯科 院長

中平宏医師に無料メール相談をする