CASE DATABASE

 

無料メール相談

術前に全顎的な重度の歯周病と、多数歯に及ぶ虫歯と根尖病巣によって口腔機能・審美面の著しい低下が認められたが、ワンデイインプラントによって両方の改善を得られた症例

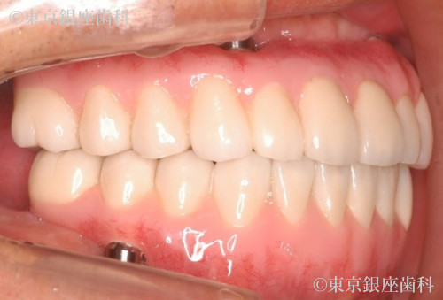
Before

After

患者様プロフィール

50代 男性

疾患 歯周病

施術内容 ワンデイインプラント

治療期間 8か月 費用 600万円(税込)

※費用は当時の金額となります。

治療期間 8か月

費用 600万円(税込)

※費用は当時の金額となります。

主訴

歯医者に長い間通院しているが、改善されず食事が上手くできない。

治療計画

全顎的な重度の歯周病と、虫歯と根尖病巣によって残っている歯のほとんどが予後不良の状態でした。
そもそも受け口だったので、ワンデイインプラントの人工歯によって受け口も改善する計画を立てました。

治療

ワンデイインプラントの特徴である少ないインプラントの本数による全顎的な口腔機能の回復と、人工歯によって受け口の改善もできた口腔機能と審美が回復した症例です。

この症例の担当医師

中平宏
(院長)

経歴

1955年10月1日 愛媛県今治市生まれ
1980年 神奈川歯科大学卒業
ボスト グラデュエート オーラル インプラントロジーコース受講
1981年 中平歯科医院開業
1989年 医療法人 中平歯科 設立
1991年 口腔インプラント専修医認定
1993年 口腔インプラント医認定
USAミシガン大学インプラントコース受講
コペンハーゲンインプラントセンターザイゴマコース受講
2002年 松山中平歯科クリニック 開業
2005年 東京銀座歯科 開業
2006年 東京銀座歯科 院長

中平宏医師に無料メール相談をする