CASE DATABASE

 

無料メール相談

全顎的に歯周病が重度に進んでしまい、審美・口腔機能が失われていたが、ワンデイインプラントにより即日解決した症例

Before

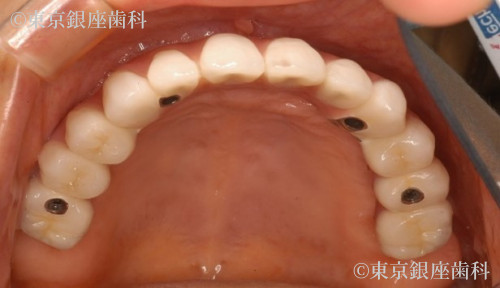
After

患者様プロフィール

60代 女性

疾患 歯周病

施術内容 ワンデイインプラント

治療期間 9か月 費用 640万円(税込)

※費用は当時の金額となります。

治療期間 9か月

費用 640万円(税込)

※費用は当時の金額となります。

主訴

歯の状態が悪いことは気づいていたが、幼少期からの極度の歯科恐怖症により数年以上にわたり歯科医院に通院することができずにいた。数か月後に控えた娘さんの結婚式に出席するために見た目の改善をしたい。

症状の経過と現在の状態

数年以上にわたり、歯科医院に通院できなかったため、全顎的に歯周病が重度に進行してしまった。その結果、何本もの歯が自然に抜け落ちてしまい、また差し歯も外れてしまった。奥歯で安定して咬むことができず、咬み合わせることができる場所が前歯しかなかったので、長期にわたり前歯を中心に咀嚼を続けていた。その結果、前歯に対する過剰な負担がかかってしまい、前歯を支える周りの骨の著しい吸収と、前歯の位置の変化が認められた。また奥歯の支えがなく、顔の周囲の筋肉が十分な機能を果たしていなかったため、表情筋の張りが不足していることが認められた。

治療計画

患者様の主訴である見た目の改善をするために、奥歯での咬み合わせを安定させることで、口腔機能の回復させ、同時に審美の改善もはかる計画を立てました。上下顎ともに残っている歯のほとんどが重度の歯周病と過剰な咬み合わせの力により、歯の周りの骨の吸収が著しかったため、全顎的な抜歯と、ワンデイインプラント治療による口腔機能・審美の改善をはかることを計画いたしました。また歯科治療に対する極度の恐怖症だったため、静脈内鎮静を併用することを予定しました。

治療内容と治療のポイント

ワンデイインプラントによって全顎的な咬み合わせの再構築と審美の回復が得られることができた症例です。術前は奥歯での咬み合わせの安定が得られなかったため、口腔周囲筋肉の衰えが求められ、表情に張りが認められませんでした。術後は、咬み合わせの安定による、口腔周囲の筋肉の活性化のより表情にはりが戻りました。人口の歯による審美の回復と咬み合わせの安定による、表情筋の活発化と全顎的な口腔機能の回復が得られた症例です。

この症例の担当医師

中平宏
(院長)

経歴

1955年10月1日 愛媛県今治市生まれ
1980年 神奈川歯科大学卒業
ボスト グラデュエート オーラル インプラントロジーコース受講
1981年 中平歯科医院開業
1989年 医療法人 中平歯科 設立
1991年 口腔インプラント専修医認定
1993年 口腔インプラント医認定
USAミシガン大学インプラントコース受講
コペンハーゲンインプラントセンターザイゴマコース受講
2002年 松山中平歯科クリニック 開業
2005年 東京銀座歯科 開業
2006年 東京銀座歯科 院長

中平宏医師に無料メール相談をする