CASE DATABASE

 

無料メール相談

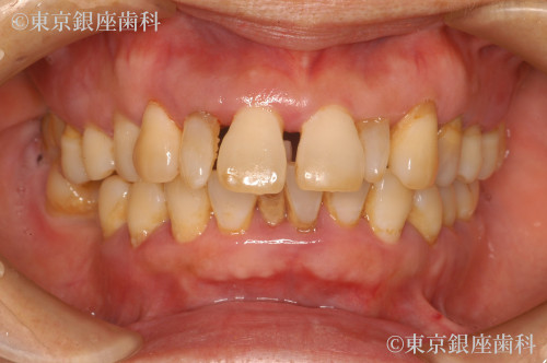
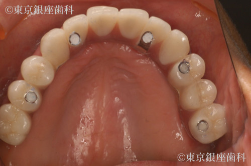
全顎的な重度歯周病による動揺、歯列崩壊をワンデイインプラントで改善した症例

Before

After

患者様プロフィール

70代 女性

疾患 歯周病

施術内容 ワンデイインプラント

治療期間 16ヶ月 費用 690万円(税込)

※費用は当時の金額となります。

治療期間 16ヶ月

費用 690万円(税込)

※費用は当時の金額となります。

主訴

全体的に歯がぐらつき出血し、何本か抜けてしまった。日に日に悪くなっている。他院で総入れ歯しかないと言われた。

全身状態

持病もなく健康

治療計画

全顎的に歯周病が進行し早急に抜歯が必要な歯が何本もあった。咬合改善、審美回復も望まれていたため全ての歯を抜歯し上下ワンデイインプラントを計画した。その際、左上顎洞部分の骨が薄いことから、人工骨を用いて骨量を増やしインプラントの安定を図るサイナスリフトも同時に行うこととした。

治療について

手術に至るまで、不安が大きく何度もカウンセリングを重ね治療のメリット、デメリット含めしっかり納得していただいてから手術に臨みました。現在、術後7年経過していますがとても満足していただいています。

1.血管損傷
術後数時間はにじむ程度の出血有り。元々歯周病がひどく朝起きると口の中が血だらけだったがむしろ術後朝の出血はなくなった。
2.神経麻痺
術前にしっかり神経の位置をCTで確認。特に神経麻痺は出ていない。
3.手術後の腫れ・痛み
痛みは当日の夜のみ痛み止めを服用したが、翌日以降は痛み止めを飲まなくても大丈夫だった。腫れは2~3日なんとなくあった程度だった。

リスク及び副作用

元々が歯周病の為インプラント周囲炎のリスクを心配していた。定期的なメンテナンス、ご自身での日々の口腔ケアをしっかり指導。7年経過した現在もインプラント周囲炎は発症していない。

この症例の担当医師

中平宏
(院長)

経歴

1955年10月1日 愛媛県今治市生まれ
1980年 神奈川歯科大学卒業
ボスト グラデュエート オーラル インプラントロジーコース受講
1981年 中平歯科医院開業
1989年 医療法人 中平歯科 設立
1991年 口腔インプラント専修医認定
1993年 口腔インプラント医認定
USAミシガン大学インプラントコース受講
コペンハーゲンインプラントセンターザイゴマコース受講
2002年 松山中平歯科クリニック 開業
2005年 東京銀座歯科 開業
2006年 東京銀座歯科 院長

中平宏医師に無料メール相談をする