CASE DATABASE

 

無料メール相談

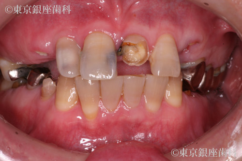
ひどい虫歯で歯がボロボロ

Before

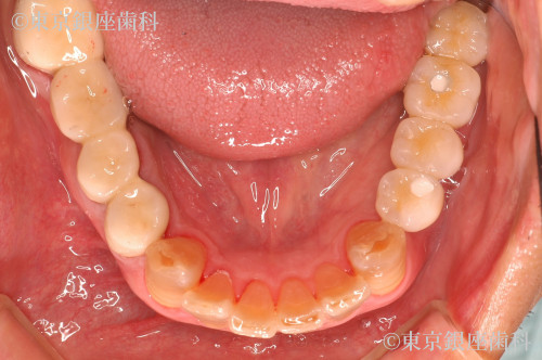
After

患者様プロフィール

50代 男性

疾患 虫歯

施術内容 インプラント

治療期間 1年半 費用 454万円(税込)

※費用は当時の金額となります。

治療期間 1年半

費用 454万円(税込)

※費用は当時の金額となります。

内容

インプラント及びセラミック処置を実施

リスク及び副作用

術後、嚙み心地に違和感が発生する可能性がある
外科処置を行う必要がある為、出血のリスクがある

この症例の担当医師

中平宏
(院長)

経歴

1955年10月1日 愛媛県今治市生まれ
1980年 神奈川歯科大学卒業
ボスト グラデュエート オーラル インプラントロジーコース受講
1981年 中平歯科医院開業
1989年 医療法人 中平歯科 設立
1991年 口腔インプラント専修医認定
1993年 口腔インプラント医認定
USAミシガン大学インプラントコース受講
コペンハーゲンインプラントセンターザイゴマコース受講
2002年 松山中平歯科クリニック 開業
2005年 東京銀座歯科 開業
2006年 東京銀座歯科 院長

中平宏医師に無料メール相談をする