CASE DATABASE

 

無料メール相談

歯周病とむし歯によって咬合崩壊 上下ワンデイインプラントにて再構築した症例

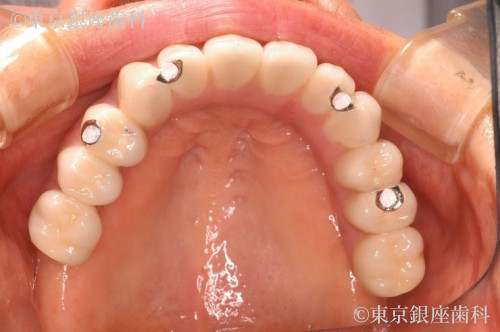
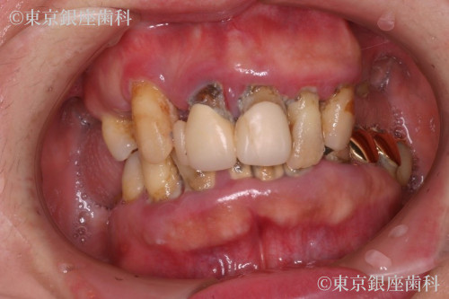
Before

After

患者様プロフィール

70代 女性

疾患 歯周病

施術内容 ワンデイインプラント

治療期間 12か月 費用 600万円(税込)

※費用は当時の金額となります。

治療期間 12か月

費用 600万円(税込)

※費用は当時の金額となります。

主訴

子供の時から歯が弱く通院を繰り返していたが、最近は人に見られるのも嫌で痛みのある時しか歯科に行かなくなった。奥歯が抜けてしまい食事ができない。口臭も気になるので人と対峙して話すことも控えるようになり仕事の面でも支障をきたす。歯肉が腫れたり、歯磨きしても痛いときがある。

症状の経過と現在の状態

痛みが出たり不具合があればその都度費用もかけて治療。しかし歯科医院の転院を繰り返していて定期健診等は受けていなかった。

治療計画

歯周病の進行で歯に動揺があり長期の保存が難しく、臼歯の欠損で咬み合わせが下がって前歯部への負担が大きくなっているため全顎的な治療が必要と判断。最小限のインプラント埋入によって咬合を回復させるため上下ワンデイインプラント処置を計画。

治療内容と治療のポイント

ワンデイインプラント治療で審美性、機能、噛み合わせの高さを同時に解決。また歯周病の影響なのか、OPE前は常に赤ら顔で両ほほに炎症が見受けられたがOPE後改善。術後、歯牙の形態や発音等に不具合を訴えていたが最終補綴物装着時には改善。現在半年メンテナンス。特に問題なし。

この症例の担当医師

中平宏
(院長)

経歴

1955年10月1日 愛媛県今治市生まれ
1980年 神奈川歯科大学卒業
ボスト グラデュエート オーラル インプラントロジーコース受講
1981年 中平歯科医院開業
1989年 医療法人 中平歯科 設立
1991年 口腔インプラント専修医認定
1993年 口腔インプラント医認定
USAミシガン大学インプラントコース受講
コペンハーゲンインプラントセンターザイゴマコース受講
2002年 松山中平歯科クリニック 開業
2005年 東京銀座歯科 開業
2006年 東京銀座歯科 院長

中平宏医師に無料メール相談をする