CASE DATABASE

 

無料メール相談

複数の奥歯を長期間失い、前歯に過度な咀嚼力の負担がかかってしまったため、全顎的にインプラントを支台とした口腔機能回復が必要となった症例

Before

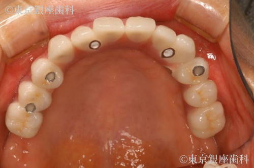
After

患者様プロフィール

70代 女性

疾患 歯周病

施術内容 インプラント

治療期間 10か月 費用 420万円(税込)

※費用は当時の金額となります。

治療期間 10か月

費用 420万円(税込)

※費用は当時の金額となります。

主訴

奥歯でものを噛めなく、歯がグラグラする

全身疾患

高脂血症

治療計画

初診時のお口の状態は、複数の奥歯が抜けていて、残っている奥歯も歯周病や、虫歯・根尖病巣により予後が不良(長期的に歯の保存が望めない)な状態でありました。
また、奥歯で物を噛めないため前歯で咀嚼を長期にわたり行うことで、前歯への力の負担が強くなり歯の根がヒビが入ったり、折れてしまっている状態でした。
上顎に関しては上記の理由により最小本数のインプラントを支台とした全顎的な人口歯によって口腔機能の回復を予定しました。
また右側の奥歯にインプラントを埋入するのに必要な骨の高さが不足していたため、上顎洞と呼ばれる空洞に骨をたす治療(サイナスリフト)も並行して行い、インプラントを安定させるための必要な骨の高さを得る予定を立てました。
下顎は奥歯にかぶせ物の治療をすることで奥歯の咀嚼機能を回復する予定を立てました。

治療

奥歯を何らかの原因により失ってしまい、長期間にわたり咀嚼力の負担が前歯にかかると前歯も歯にひびが入ったり折れてしまい予後が不良となり、また骨の吸収も生じることがあります。
術前の口腔内の診査で残っている歯の状態の確認をしてお口全体の確認をする事が重要となります。
今回の症例に関しては、上顎は全顎的な口腔機能の回復が必要で、右側の奥歯は骨の吸収が大きかったためサイナスリフトを並行して行いました。
下顎はかぶせ物の治療で十分な咀嚼機能の回復をえることができました。

この症例の担当医師

中平宏
(院長)

経歴

1955年10月1日 愛媛県今治市生まれ
1980年 神奈川歯科大学卒業
ボスト グラデュエート オーラル インプラントロジーコース受講
1981年 中平歯科医院開業
1989年 医療法人 中平歯科 設立
1991年 口腔インプラント専修医認定
1993年 口腔インプラント医認定
USAミシガン大学インプラントコース受講
コペンハーゲンインプラントセンターザイゴマコース受講
2002年 松山中平歯科クリニック 開業
2005年 東京銀座歯科 開業
2006年 東京銀座歯科 院長

中平宏医師に無料メール相談をする