CASE DATABASE

 

無料メール相談

入れ歯からインプラントを支台とした固定式の人工歯による咀嚼機能の回復

Before

After

患者様プロフィール

70代 女性

疾患 審美治療

施術内容 インプラント

治療期間 8か月 費用 510万円(税込)

※費用は当時の金額となります。

治療期間 8か月

費用 510万円(税込)

※費用は当時の金額となります。

主訴

上と下の入れ歯の付けている感じがとても違和感があり、発音や噛むことに対して不自由を感じている。

治療計画

全顎的な歯周病や虫歯、適合の良くないかぶせ物、不安定な噛み合わせ、不整な歯の並びであることを初診時に口腔内の診査とレントゲンにより診査し、咀嚼機能が低下していることが認められました。
入れ歯での咀嚼機能の回復を患者様は望まず、固定式の人工歯による口腔内全体の機能回復をご希望されました。
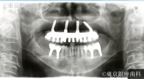
上顎は予後不良(将来的に抜歯になる可能性が高い)な歯が多数認められ、また歯並びが不整であり咀嚼機能の低下、顎の運動が不自由になっておりました。
またインプラント埋入手術後当日に固定式の仮の人口歯を装着することをご希望されましたので、4本のインプラントを支えとし、全顎な固定式の人工歯を装着(ワンデイインプラント®)する計画をいたしました。
また下顎は奥歯に左右2本ずつのインプラントを支えとした4歯の人工歯を装着し機能回復を予定いたしました。

治療について

上顎に関して、ワンデイインプラントによって少ない本数のインプラントを支台とした全顎的な人工歯での機能回復が得られました。
噛み合わせや、整った歯の並びによりスムーズな咀嚼運動が可能となりました。
また下顎は奥歯だけのインプラント治療で安定した噛み合わせを得ることができました。

治療について

上顎に関して、ワンデイインプラントによって少ない本数のインプラントを支台とした全顎的な人工歯での機能回復が得られました。噛み合わせや、整った歯の並びによりスムーズな咀嚼運動が可能となりました。また下顎は奥歯だけのインプラント治療で安定した噛み合わせを得ることができました。

この症例の担当医師

中平宏
(院長)

経歴

1955年10月1日 愛媛県今治市生まれ
1980年 神奈川歯科大学卒業
ボスト グラデュエート オーラル インプラントロジーコース受講
1981年 中平歯科医院開業
1989年 医療法人 中平歯科 設立
1991年 口腔インプラント専修医認定
1993年 口腔インプラント医認定
USAミシガン大学インプラントコース受講
コペンハーゲンインプラントセンターザイゴマコース受講
2002年 松山中平歯科クリニック 開業
2005年 東京銀座歯科 開業
2006年 東京銀座歯科 院長

中平宏医師に無料メール相談をする