CASE DATABASE

 

無料メール相談

前歯部の欠損をインプラント治療で改善した症例

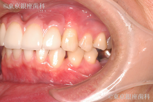
Before

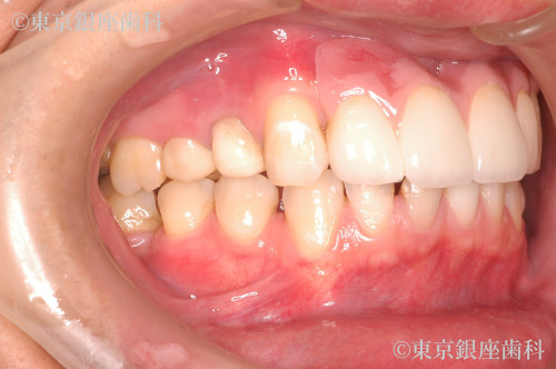
After

患者様プロフィール

30代 男性

疾患 歯牙部分欠損

施術内容 インプラント

治療期間 10ヶ月 費用 145万円(税込)

※費用は当時の金額となります。

治療期間 10ヶ月

費用 145万円(税込)

※費用は当時の金額となります。

主訴

前歯の仮歯がグラついていて取れそう。歯の色もきれいに治したい。

全身状態

健康・持病なし

治療計画

前歯の4本が保存も難しい状態であった為、抜歯・インプラント埋入・仮歯の固定を即日で行う部分ワンデイの治療を計画した

治療について

抜糸時は問題なかったが手術後40日で右上2番のインプラント体脱落を確認。除去後再度のインプラント埋入により骨の結合を確認した。
1.血管損傷 術後確認で問題なし
2.神経麻痺 術後確認で問題なし
3.手術後の腫れ・痛み 弱冠の腫れを認めた。痛みは鎮痛剤の服用を1日必要とした程度。

リスク及び副作用

インプラント体の脱落は全体の5%程度だが再度手術を行うことによりその後の経過も良好。状態は安定した。

この症例の担当医師

中平宏
(院長)

経歴

1955年10月1日 愛媛県今治市生まれ
1980年 神奈川歯科大学卒業
ボスト グラデュエート オーラル インプラントロジーコース受講
1981年 中平歯科医院開業
1989年 医療法人 中平歯科 設立
1991年 口腔インプラント専修医認定
1993年 口腔インプラント医認定
USAミシガン大学インプラントコース受講
コペンハーゲンインプラントセンターザイゴマコース受講
2002年 松山中平歯科クリニック 開業
2005年 東京銀座歯科 開業
2006年 東京銀座歯科 院長

中平宏医師に無料メール相談をする