CASE DATABASE

 

無料メール相談

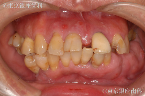
全体的な歯周病、歯が動いて出っ歯になってしまった

Before

After

患者様プロフィール

50代 女性

疾患 歯周病

施術内容 ワンデイインプラント

治療期間 11か月 費用 670万円(税込)

※費用は当時の金額となります。

治療期間 11か月

費用 670万円(税込)

※費用は当時の金額となります。

内容

ワンデイインプラントで審美を回復
上下のワンデイインプラントを実施
鳥貌を改善

リスク及び副作用

外科的な手術を受ける必要がある為、出血、神経や血管を損傷する恐れがあります。
保険制度がなくブリッジや入れ歯に比べると高額になります。
ワンデイインプラントによる大幅な咬合改善に伴い頬や口唇、舌を噛みやすくなる可能性があります。

この症例の担当医師

中平宏
(院長)

経歴

1955年10月1日 愛媛県今治市生まれ
1980年 神奈川歯科大学卒業
ボスト グラデュエート オーラル インプラントロジーコース受講
1981年 中平歯科医院開業
1989年 医療法人 中平歯科 設立
1991年 口腔インプラント専修医認定
1993年 口腔インプラント医認定
USAミシガン大学インプラントコース受講
コペンハーゲンインプラントセンターザイゴマコース受講
2002年 松山中平歯科クリニック 開業
2005年 東京銀座歯科 開業
2006年 東京銀座歯科 院長

中平宏医師に無料メール相談をする