21~30 件表示 / 全 87 件
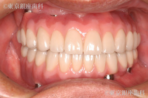
ボロボロの歯の症例
患者様プロフィール
40代 男性
疾患 歯周病
施術内容 ワンデイインプラント
治療期間 11カ月 費用 620万円(税込)
※費用は当時の金額となります。
Before
After
治療概要 概要:虫歯、歯周病、治療:部分ワンデイインプラント、セラミック治療、メタルフリー、歯周治療
ボロボロの歯の症例
患者様プロフィール
30代 男性
疾患 歯周病
施術内容 ワンデイインプラント
治療期間 9か月 費用 660万円(税込)
※費用は当時の金額となります。
Before
After
治療概要 概要:歯周病、虫歯、治療:上下ワンデイインプラント
ボロボロの歯の症例
患者様プロフィール
40代 男性
疾患 歯周病
施術内容 ワンデイインプラント
治療期間 9か月 費用 375万円(税込)
※費用は当時の金額となります。
Before
After
治療概要 概要:虫歯、歯周病、治療:上ワンデイインプラント、下総入れ歯
ボロボロの歯の症例
患者様プロフィール
50代 男性
疾患 歯周病
施術内容 ワンデイインプラント
治療期間 1年 費用 660万円(税込)
※費用は当時の金額となります。
Before
After
治療概要 概要:虫歯、歯周病、治療:上下ワンデイインプラント
ボロボロの歯の症例
患者様プロフィール
40代 男性
疾患 歯周病
施術内容 ワンデイインプラント
治療期間 9か月 費用 335万円(税込)
※費用は当時の金額となります。
Before
After
治療概要 概要:歯周病、入れ歯、治療:ワンデイインプラント,クリーニング
ボロボロの歯の症例
患者様プロフィール
50代 男性
疾患 歯周病
施術内容 ワンデイインプラント
治療期間 7カ月 費用 630万円(税込)
※費用は当時の金額となります。
Before
After
治療概要 概要:入れ歯、歯周病、反対咬合、虫歯、治療:上下ワンデイインプラント
ボロボロの歯の症例
患者様プロフィール
50代 女性
疾患 歯周病
施術内容 ワンデイインプラント
治療期間 10か月 費用 550万円(税込)
※費用は当時の金額となります。
Before
After
治療概要 概要:歯周病、虫歯、入れ歯、口臭、治療:ワンデイインプラント,部分インプラント,セラミック治療,クリーニング,メタルフリー
ボロボロの歯の症例
患者様プロフィール
50代 女性
疾患 歯周病
施術内容 ワンデイインプラント
治療期間 7カ月 費用 435万円(税込)
※費用は当時の金額となります。
Before
After
治療概要 内容:反対咬合、歯根破折、虫歯、歯周病、治療:ワンデイインプラント,部分インプラント,ダイレクトボンディング
ボロボロの歯の症例
患者様プロフィール
30代 男性
疾患 歯周病
施術内容 ワンデイインプラント
治療期間 8カ月 費用 630万円(税込)
※費用は当時の金額となります。
Before
After
治療概要 内容:虫歯、歯周病、治療:上下ワンデイインプラント
前歯の隙間D,B
患者様プロフィール
20代 女性
疾患 上顎正中離開
施術内容 ダイレクトボンディング
治療期間 1回 費用 7万円(税込)
※費用は当時の金額となります。
Before
After
治療概要 内容:前歯の隙間D,B