41~50 件表示 / 全 87 件
ホームホワイトニング
患者様プロフィール
40代 女性
疾患 審美治療
施術内容 ホームホワイトニング
治療期間 3ヶ月 費用 3.3万円(税込)
※費用は当時の金額となります。
Before
After
治療概要
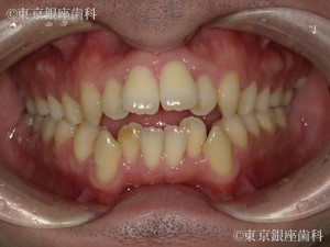
矯正
患者様プロフィール
20代 女性
疾患 矯正
施術内容 矯正
治療期間 1年1ヶ月 費用 90万円(税込)
※費用は当時の金額となります。
Before
After
治療概要 概要:インビザライン:コンプリヘンシブパッケージ
矯正
患者様プロフィール
30代 女性
疾患 矯正
施術内容 矯正
治療期間 1年1ヶ月 費用 65万円(税込)
※費用は当時の金額となります。
Before
After
治療概要 内容:インビザライン:モデレートパッケージ
長年入歯を使ってて骨が薄くて他院でインプラントを断られた事例
患者様プロフィール
50代 女性
疾患 審美治療
施術内容 インプラント
治療期間 1年1か月 費用 660万円(税込)
※費用は当時の金額となります。
Before
After
治療概要 内容:長年入歯を使ってて骨が薄くて他院でインプラントを断られた 禁煙を行って頂いたのち、オペを実施 、リスク及び副作用:喫煙により毛細血管が縮小し治癒不全になる恐れがある為、禁煙後にオペを実施 外科的な手術を受ける必要がある為、出血、神経や血管を損傷する恐れがあります。 保険制度がなくブリッ...
他院からのリカバリ
患者様プロフィール
40代 女性
疾患 リカバリー
施術内容 インプラント
治療期間 3か月 費用 60万円(税込)
※費用は当時の金額となります。
Before
After
治療概要 内容:他院で行ったインプラントのリカバリ 上部構造のやり直し インプラントはしっかりしていたのでうわもののやり直しを実施 セメント固定からスクリュー固定変更したので、今後、緩んでも締めれる、リスク及び副作用:スクリュー固定に変更したので、今後、緩む可能性がある
重度の歯周病によって失った審美性や機能性をワンデイインプラントによって改善した症例
患者様プロフィール
40代 女性
疾患 歯周病
施術内容 ワンデイインプラント
治療期間 8カ月 費用 600万円(税込)
※費用は当時の金額となります。
Before
After
治療概要 主訴:歯の揺れを原因に一度来院したが金銭的理由により一時保留。3年後歯周病が悪化し歯の揺れ、骨の吸収が見られ前歯が自然脱落し改善したい。 、症状の経過と現在の状態:何年間も歯科医院には通っておらず、全ての歯の揺れがひどく今にも抜けそうだったが金銭的な理由により一時保留にしていた。3年後に来院した際...
ホームホワイトニング
患者様プロフィール
30代 男性
疾患 審美治療
施術内容 ホームホワイトニング
治療期間 1ヶ月 費用 3.3万円(税込)
※費用は当時の金額となります。
Before
After
治療概要
矯正
患者様プロフィール
30代 男性
疾患 矯正
施術内容 矯正
治療期間 1年4ヶ月 費用 45万円(税込)
※費用は当時の金額となります。
Before
After
治療概要 内容:インビザライン:ライトパッケージ 側方前突
矯正
患者様プロフィール
30代 男性
疾患 矯正
施術内容 矯正
治療期間 1年7ヶ月 費用 90万円(税込)
※費用は当時の金額となります。
Before
After
治療概要 内容:インビザライン:コンプリヘンシブパッケージ
矯正
患者様プロフィール
20代 女性
疾患 矯正
施術内容 矯正
治療期間 11ヶ月 費用 45万円(税込)
※費用は当時の金額となります。
Before
After
治療概要 内容:インビザライン:ライトパッケージ