81~87 件表示 / 全 87 件
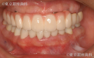
ひどい虫歯
患者様プロフィール
40代 男性
疾患 虫歯
施術内容 歯周病
治療期間 1年 費用 620万円(税込)
※費用は当時の金額となります。
Before
After
治療概要 内容:上顎ワンデイインプラント及び下顎補綴治療
ひどい虫歯
患者様プロフィール
30代 女性
疾患 虫歯
施術内容 歯周病
治療期間 1年5ヶ月 費用 300万円(税込)
※費用は当時の金額となります。
Before
After
治療概要 内容:上顎ワンデイインプラント
人前で話す仕事なので、1年くらい前から気になりだした前歯の隙間をうめたい。
患者様プロフィール
30代 男性
疾患 上顎前歯部正中離開
施術内容 ダイレクトボンディング
治療期間 2日(1.5時間) 費用 7万円(税込)
※費用は当時の金額となります。
Before
After
治療概要 状況:1年半ぶりに歯医者にで治療を受ける。Webサイトにてダイレクトボンディング治療について知った。 、治療前:歯間空隙(歯と歯の隙間)が直線的で均一な幅(約2㎜程度)が認められました。顔貌は歯間離開によって少し緩んだイメージに見えました。 、メリット:歯を削らずに1日で、コンポジットレジン(セ...
近々、大学の卒業式があるためそれまでに歯の隙間を埋めたい。
患者様プロフィール
20代 女性
疾患 上顎前歯部正中離開
施術内容 ダイレクトボンディング
治療期間 2日(1.5時間) 費用 7万円(税込)
※費用は当時の金額となります。
Before
After
治療概要 状況:1年ぶりに歯医者にで治療を受ける。Webサイトにてダイレクトボンディング治療について知った。 、治療前:歯間空隙(歯と歯の隙間)の一番大きな部分で幅が4㎜程度認められました。上顎左側切歯切縁部(左上の前歯の先端)がかけているのと、古いコンポジットレジンが詰めてあり変色していました。治療前の口...
治療期間を早めに上顎の前歯の隙間を治したい。
患者様プロフィール
20代 女性
疾患 上顎前歯部正中離開
施術内容 ダイレクトボンディング
治療期間 2日(1.5時間) 費用 7万円(税込)
※費用は当時の金額となります。
Before
After
治療概要 状況:3年ぶりに歯科医院で治療を受ける。インターネット検索でダイレクトボンディング治療を知った。 、治療前:歯間空隙(歯と歯の隙間)の一番大きな部分で幅が3㎜程度認められました。歯と歯の隙間の部分は汚れは多く認められませんでしたが、着色が認められました。治療前の口腔内の見た目の印象は3㎜の歯間空隙...
前歯のすきっ歯を治したい
患者様プロフィール
30代 男性
疾患 上顎前歯部正中離開
施術内容 ダイレクトボンディング
治療期間 2日(1.5時間) 費用 7万円(税込)
※費用は当時の金額となります。
Before
After
治療概要 状況:東京銀座歯科のホームページをみて、ダイレクトボンディング治療について知り治療したいと思った 、治療前:歯間空隙(歯と歯の隙間)の一番大きな部分で幅が2㎜程度認められました。また左側の前歯の先端が一部かけていました。治療前の口腔内の見た目の印象は2㎜の歯間空隙が黒く見え、顔貌が少し緩んだイメー...
結婚式が1週間後にあるのでそれまでに前歯のすきっ歯を埋めたい。
患者様プロフィール
30代 女性
疾患 上顎正中離開
施術内容 ダイレクトボンディング
治療期間 1日(1.5時間) 費用 7万円(税込)
※費用は当時の金額となります。
Before
After
治療概要 状況:歯科矯正治療で歯の隙間を埋めるのは結婚式に間に合わないので、インターネットで調べたダイレクトボンディング治療で結婚式に間に合わせたい。、治療前:歯間空隙(歯と歯の隙間)の一番大きな部分で幅が2㎜程度認められました。治療前の口腔内の見た目の印象は2㎜の歯間空隙が黒く見え、顔貌が少し緩んだイメージ...