61~70 件表示 / 全 87 件
全顎的な重度歯周病による動揺、歯列崩壊をワンデイインプラントで改善した症例
患者様プロフィール
70代 女性
疾患 歯周病
施術内容 ワンデイインプラント
治療期間 16ヶ月 費用 690万円(税込)
※費用は当時の金額となります。
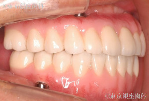
Before
After
治療概要 主訴:全体的に歯がぐらつき出血し、何本か抜けてしまった。日に日に悪くなっている。他院で総入れ歯しかないと言われた。、全身状態:持病もなく健康 、治療計画:全顎的に歯周病が進行し早急に抜歯が必要な歯が何本もあった。咬合改善、審美回復も望まれていたため全ての歯を抜歯し上下ワンデイインプラントを計画した...
全顎的に歯周病が重度に進んでしまい、審美・口腔機能が失われていたが、ワンデイインプラントにより即日解決した症例
患者様プロフィール
60代 女性
疾患 歯周病
施術内容 ワンデイインプラント
治療期間 9か月 費用 640万円(税込)
※費用は当時の金額となります。
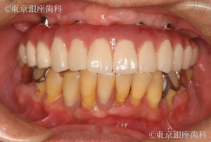
Before
After
治療概要 主訴:歯の状態が悪いことは気づいていたが、幼少期からの極度の歯科恐怖症により数年以上にわたり歯科医院に通院することができずにいた。数か月後に控えた娘さんの結婚式に出席するために見た目の改善をしたい。、症状の経過と現在の状態:数年以上にわたり、歯科医院に通院できなかったため、全顎的に歯周病が重度に進行...
奥歯のインプラント
患者様プロフィール
70代 男性
疾患 歯周病
施術内容 インプラント
治療期間 1年半 費用 240万円(税込)
※費用は当時の金額となります。
Before
After
治療概要 内容:奥歯上下をインプラント治療 奥歯は延長ブリッジ 糖尿病の為、血糖値を操作しオペを実施、リスク及び副作用:糖尿病により血糖値が高い状態での手術はリスクを伴うため、事前に血糖値をコントロールしてインプラントを実施 術後、嚙み心地に違和感が発生する可能性がある 外科処置を行う必要がある為、出...
術前に全顎的な重度の歯周病と、多数歯に及ぶ虫歯と根尖病巣によって口腔機能・審美面の著しい低下が認められたが、ワンデイインプラントによって両方の改善を得られた症例
患者様プロフィール
50代 男性
疾患 歯周病
施術内容 ワンデイインプラント
治療期間 8か月 費用 600万円(税込)
※費用は当時の金額となります。
Before
After
治療概要 主訴:歯医者に長い間通院しているが、改善されず食事が上手くできない。、治療計画:全顎的な重度の歯周病と、虫歯と根尖病巣によって残っている歯のほとんどが予後不良の状態でした。 そもそも受け口だったので、ワンデイインプラントの人工歯によって受け口も改善する計画を立てました。、治療:ワンデイインプラント...
ひどい歯周病、薬の副作用で歯茎が増殖
患者様プロフィール
60代 男性
疾患 歯周病
施術内容 インプラント
治療期間 1年5か月 費用 630万円(税込)
※費用は当時の金額となります。
Before
After
治療概要 内容:抜歯後、入歯に落ち着いた後に上下ワンデイインプラントを実施 デンチャー待機症例。、リスク及び副作用:外科的な手術を受ける必要がある為、出血、神経や血管を損傷する恐れがあります。 保険制度がなくブリッジや入れ歯に比べると高額になります。
歯並びが悪く歯周病が進行していた
患者様プロフィール
40代 男性
疾患 歯周病
施術内容 インプラント
治療期間 1年4か月 費用 570万円(税込)
※費用は当時の金額となります。
Before
After
治療概要 内容:ワンデイインプラントで審美を回復 歯並びが悪く歯周病が進行していた 上部は審美治療を行い、下部はワンデイインプラントを行った、リスク及び副作用:外科的な手術を受ける必要がある為、出血、神経や血管を損傷する恐れがあります。 保険制度がなくブリッジや入れ歯に比べると高額になります。 発音に...
歯周病及び虫歯による全体的な治療
患者様プロフィール
30代 女性
疾患 歯周病
施術内容 インプラント
治療期間 3年 費用 530万円(税込)
※費用は当時の金額となります。
Before
After
治療概要 内容:インプラント及びセラミック処置を実施、リスク及び副作用:歯周病により歯茎の状態が不安定なので、かぶせものを行った場合、見た目が汚くなる可能性がある為、事前に歯周病の治療を実施。 インプラントによる神経の麻痺が発生する可能性がある
全顎的な重度の歯周病と顎変位をワンデイインプラントによって改善した症例
患者様プロフィール
50代 女性
疾患 歯周病
施術内容 ワンデイインプラント
治療期間 1年6か月 費用 640万円(税込)
※費用は当時の金額となります。
Before
After
治療概要 主訴:歯の揺れがひどくまともな食事がとれず口腔内の悩みにより鬱傾向。 半年で急激に歯周病が進み、それまで頻繁に行っていた友人とのランチや家族とのお出かけも出来なくなり引き篭もるようになった。 15年ほど歯医者には言っておらず歯医者に対して恐怖心がある。 幼少時から顎や口が歪んでいる。 これを...
2型糖尿病の治療を経て歯周病の進行によって失われた咬合機能をワンデイインプラントにより回復。ただし費用の都合により上顎のみ手術。患者の希望により残存歯の多い下顎は義歯を使用した例。
患者様プロフィール
50代 男性
疾患 歯周病
施術内容 ワンデイインプラント
治療期間 8ケ月 費用 350万円(税込)
※費用は当時の金額となります。
Before
After
治療概要 主訴:義歯を使用しているが歯の動揺が激しく歯周病の進行が心配。 、症状の経過と現在の状態:20代の頃からブラッシング時の出血等の症状があるも特に痛みもないため治療せず放置。 40代になると喫煙、糖尿病の影響も大きく歯周病が急激に悪化。 抜歯により義歯の装着を免れなくなった。、全身状態:2型糖尿...
前歯のインプラント
患者様プロフィール
50代 男性
疾患 歯周病
施術内容 インプラント
治療期間 9か月 費用 70万円(税込)
※費用は当時の金額となります。
Before
After
治療概要 内容:前歯1本をインプラント、リスク及び副作用:術後、嚙み心地に違和感が発生する可能性がある 外科処置を行う必要がある為、出血のリスクがある 前歯の場合、発音に障害が出る可能性がある