11~20 件表示 / 全 87 件
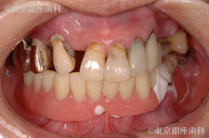
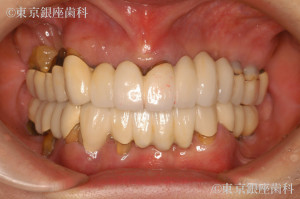
過去のインプラントで十分な結果が得られず再チャレンジし噛む機能を取り戻した60歳代女性の症例
患者様プロフィール
60代 女性
疾患 歯牙部分欠損
施術内容 ワンデイインプラント
治療期間 約6か月(全体では数年) 費用 680万円(税込)
※費用は当時の金額となります。
Before
After
治療概要 概要:以前のインプラントが不十分で再治療を希望。下顎から先にインプラント、上顎洞炎治療後に上顎も実施。難症例ながら最終的に噛める状態を獲得。、治療内容:上下ワンデイインプラント(再チャレンジ症例)、リスク:腫れ・痛み・出血、結合不全、脱落可能性、食片圧入、副作用:術後痛・腫れ・違和感
他院でのブリッジ崩壊からサイナスリフト併用のワンデイインプラントで機能回復した70歳代女性の症例
患者様プロフィール
70代 女性
疾患 歯牙部分欠損
施術内容 ワンデイインプラント
治療期間 約6〜8か月 費用 830万円(税込)
※費用は当時の金額となります。
Before
After
治療概要 概要:過去の高額ブリッジ治療が数年で崩壊し不安を抱えて来院。部分インプラント後、上下ワンデイへ移行。サイナスリフトも併用し安定した噛み合わせを獲得。、治療内容:上下ワンデイインプラント+サイナスリフト、リスク:腫れ・痛み・出血、骨造成の必要性、治癒の遅延、骨結合不全、副作用:術後痛・腫れ・圧痛
ブリッジ部の歯周病悪化から上下インプラントで噛める機能を回復した60歳代女性の症例
患者様プロフィール
60代 女性
疾患 歯周病
施術内容 ワンデイインプラント
治療期間 約6か月 費用 640万円(税込)
※費用は当時の金額となります。
Before
After
治療概要 概要:上下ブリッジの歯周病悪化・口臭・動揺・痛みに悩んでいたが、下顎から順次インプラントを実施し改善。上下で安定した噛み合わせを獲得。、治療内容:上下ワンデイインプラント(段階治療)、リスク:腫れ・痛み・出血、骨結合不全、再治療の可能性、副作用:術後痛・腫れ
重度歯周病で骨が薄い状態から適切な固定を得て治療を進められた60歳代男性のインプラント症例
患者様プロフィール
60代 男性
疾患 歯周病
施術内容 ワンデイインプラント
治療期間 約6か月(骨状態で延長可能性) 費用 700万円(税込)
※費用は当時の金額となります。
Before
After
治療概要 概要:骨が薄く初期固定が困難と予測されたが、手術時に十分な固定が得られ入れ歯待機を回避。難症例ながら安定した治療結果に。、治療内容:インプラント治療(骨吸収症例)、リスク:腫れ・痛み・出血、骨結合不全、再手術可能性、副作用:術後の痛み・腫れ
20年経過したインプラントの上部構造を再度新製し快適性を取り戻した80歳代女性の症例
患者様プロフィール
70代 女性
疾患 リカバリー
施術内容 ワンデイインプラント
治療期間 約6か月 費用 840万円(税込)
※費用は当時の金額となります。
Before
After
治療概要 概要:20年前にワンデイインプラントを実施。土台は安定していたが人工歯が経年劣化し再度新製を選択。スペアも作成し将来の負担を軽減した。、治療内容:上下ワンデイインプラント(補綴再製作)、リスク:腫れ・痛み・出血、上部構造の経年劣化、再製作の必要性、副作用:術後の痛み・違和感
若年性の重度歯周病により早期から噛めない状態だった40歳代男性のインプラント治療症例
患者様プロフィール
40代 男性
疾患 歯周病
施術内容 ワンデイインプラント
治療期間 約6か月(再オペの場合延長) 費用 650万円(税込)
※費用は当時の金額となります。
Before
After
治療概要 概要:進行の早い歯周病で強い不安を抱き来院。オペを決断しケアに前向きになったことで改善。途中破損・再手術を経たが最終的に安定した。、治療内容:ワンデイインプラント(再オペあり)、リスク:腫れ・痛み・出血、結合不全、長期脱落の可能性、再手術の可能性、副作用:術後の痛み・腫れ・違和感
長年の入れ歯生活から自分の歯のように噛める喜びを取り戻した50歳代男性のインプラント症例
患者様プロフィール
50代 男性
疾患 歯牙部分欠損
施術内容 ワンデイインプラント
治療期間 約6か月(再オペの場合延長) 費用 650万円(税込)
※費用は当時の金額となります。
Before
After
治療概要 概要:若い頃から入れ歯を使用し噛めない・笑えない悩みを抱えていたが、上下インプラントで噛み合わせと表情が改善。再手術も経て安定している。、治療内容:上下ワンデイインプラント(再オペあり)、リスク:腫れ・痛み・出血、骨結合不全、長期脱落、再手術の可能性、副作用:術後の痛み・腫れ・違和感
がん治療の既往があり複雑な治療歴を経てワンデイインプラントで噛む機能を回復した70歳代男性の症例
患者様プロフィール
70代 男性
疾患 リカバリー
施術内容 ワンデイインプラント
治療期間 約6か月 費用 650万円(税込)
※費用は当時の金額となります。
Before
After
治療概要 概要:長年の治療で口腔内がつぎはぎ状態で違和感を抱えていたが、ワンデイインプラントで即日改善。1箇所結合不全があったが再手術で問題なく回復した。、治療内容:ワンデイインプラント(上下)、リスク:腫れ・痛み・出血、骨結合不全、早期接触による脱落、再手術の可能性、副作用:術後の痛み・腫れ・違和感
長年の歯科恐怖症を克服し、家族の結婚式に笑顔で参加できた70歳代女性のインプラント治療症例
患者様プロフィール
70代 女性
疾患 歯牙部分欠損
施術内容 ワンデイインプラント
治療期間 約6か月 費用 670万円(税込)
※費用は当時の金額となります。
Before
After
治療概要 概要:幼少期からの歯科恐怖症で長期間治療を避けてきたが、家族の結婚式のため治療を決断。丁寧な説明で不安を軽減し、ワンデイインプラントで当日に仮歯を装着したことで自然な見た目で式に参加できた。、治療内容:ワンデイインプラント(上下)、リスク:手術後の腫れ・痛み・出血、骨結合不全、顎のしびれ、再治療の可...
ボロボロの歯の症例
患者様プロフィール
50代 男性
疾患 歯周病
施術内容 ワンデイインプラント
治療期間 11カ月 費用 660万円(税込)
※費用は当時の金額となります。
Before
After
治療概要 概要:歯周病、虫歯、治療:上下ワンデイインプラント